Surgical Approach
Smaller incisions. Less soft tissue disruption. Faster recovery. Minimally invasive techniques allow many foot and ankle conditions to be corrected with significantly less trauma than traditional open surgery.
Dr. Bregman performs minimally invasive bunion correction (Bunionplasty MIS), minimally invasive hammertoe correction, and other minimally invasive procedures. Not every patient is a candidate — a thorough evaluation determines the most appropriate surgical approach for each individual case.
The Advantages
Incisions of 2–5mm versus the 5–8cm incisions used in traditional open surgery. Less visible scarring and reduced risk of wound complications.
Specialized instruments work through small portals without the extensive soft tissue dissection required in open surgery. This preserves blood supply and reduces post-operative swelling.
Most patients are walking in a surgical shoe immediately after minimally invasive bunion surgery. Return to normal footwear is typically faster than with traditional open procedures.
Actual Patient Results
The following X-rays and clinical photos are from Dr. Bregman's own patients. Note the dramatic bone realignment on X-ray — and on the clinical photos, the incisions are so small they are almost invisible.
Both photographs below are post-operative images from the same patient, taken at different angles to demonstrate the near-complete absence of visible scarring following minimally invasive bunion surgery.

Post-operative result — incisions virtually invisible

Corrected alignment — scarring almost entirely absent

AP weight-bearing X-ray — hallux valgus deformity with metatarsal deviation

Corrected alignment — internal fixation screw visible, first metatarsal realigned

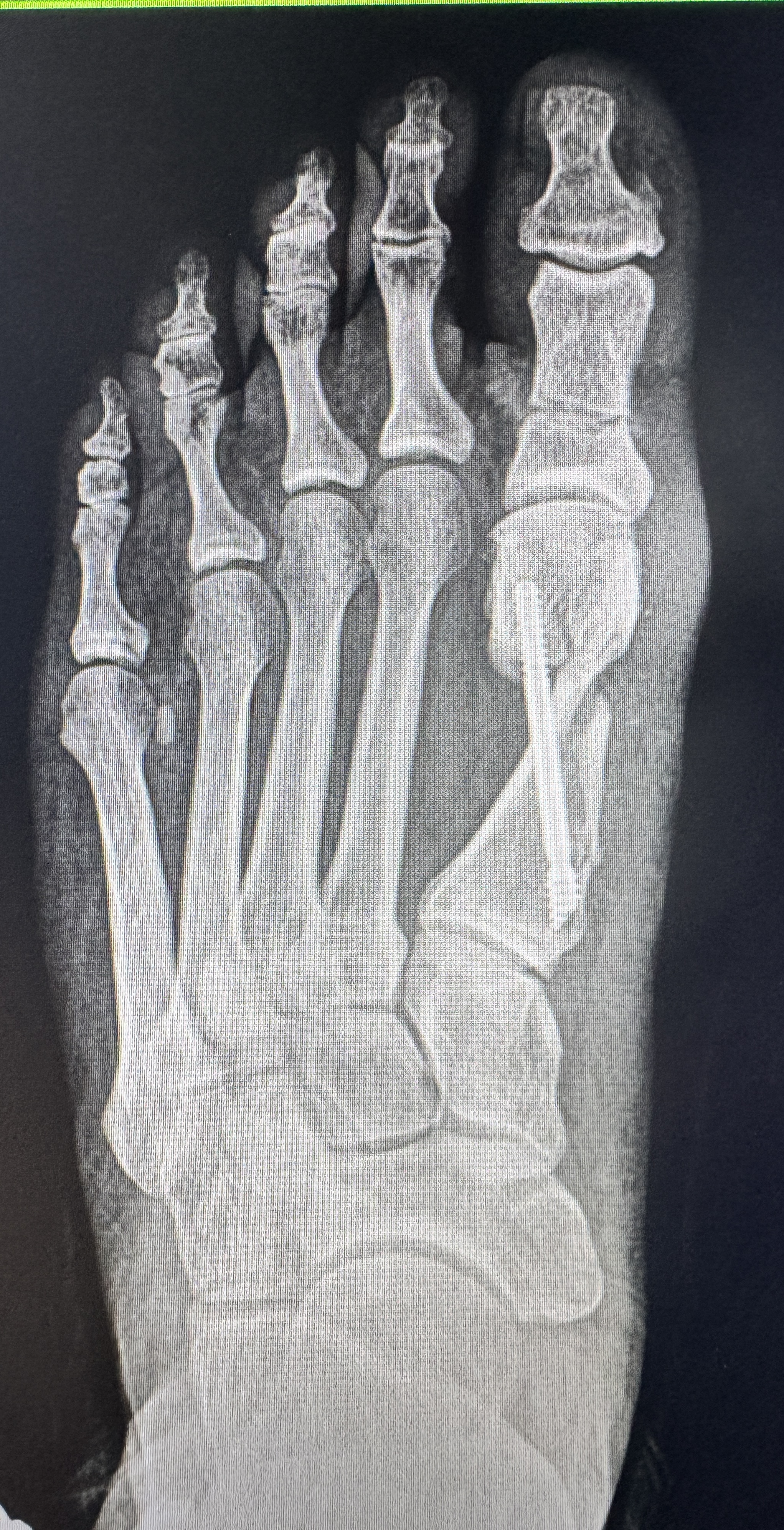
Significant hallux valgus deformity with lateral toe crowding

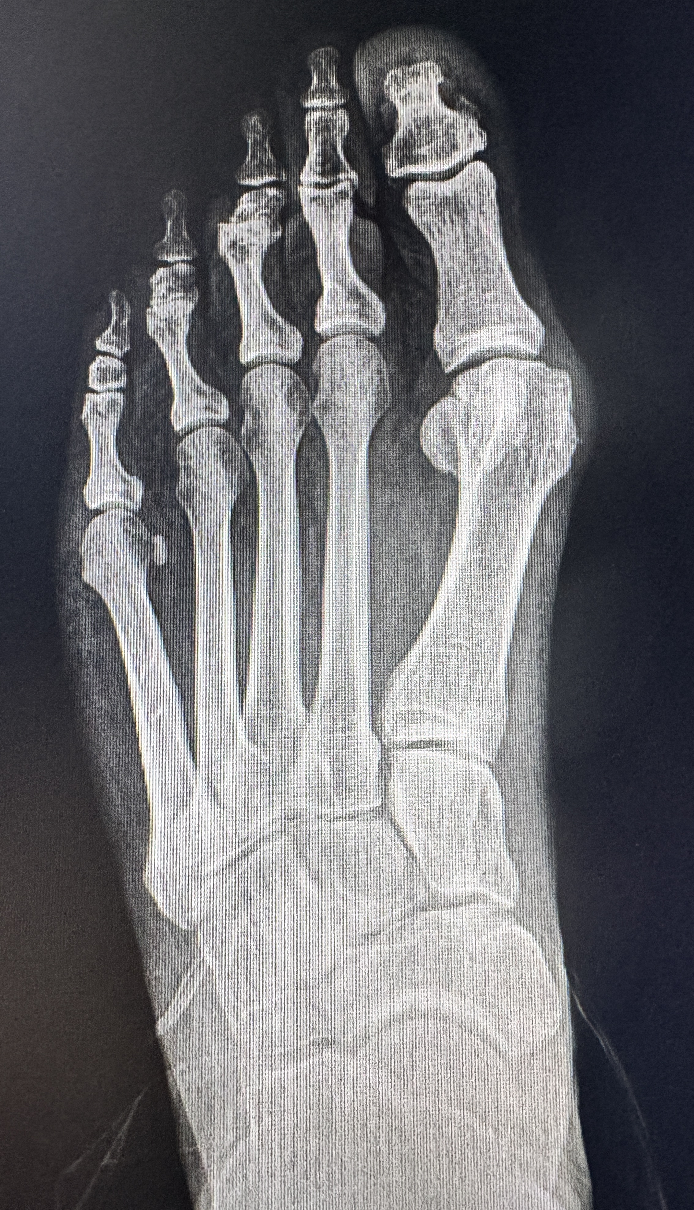
Excellent realignment — fixation hardware placed through minimal incisions

Female patient. Dramatic realignment of the first metatarsal achieved through minimally invasive technique.
Separate Patient — Video Follow-Up
At just six weeks post-operatively, this patient demonstrates near-complete scar disappearance — the incisions are barely visible. Full range of motion is present and the patient reports zero pain. This is a different patient from the X-ray cases above.
6-week post-op follow-up — scar nearly invisible, full range of motion, no pain. Minimally invasive bunion surgery by Dr. Peter J. Bregman, DPM.
Notice on the clinical photos: the incisions are so small they are almost invisible — yet the X-rays show complete correction of the bone deformity. This is the power of minimally invasive technique in the right hands.
Patient photos: Images are from Dr. Bregman's actual patients and are shared with consent for educational purposes. Individual results vary. A thorough evaluation is required to determine candidacy for minimally invasive surgery.
Bone Healing Process
This video walks through the complete bone healing journey following minimally invasive bunion surgery — from the immediate post-operative state through progressive bone consolidation to full healing. Understanding what your bones are doing at each stage helps set realistic expectations and reinforces the importance of following post-operative protocols.
Video walkthrough: bone healing progression after minimally invasive bunion surgery — from post-operative day 1 through complete bone consolidation. Presented by Dr. Peter J. Bregman, DPM.
Procedures
Correction of hallux valgus (bunion) deformity using small incisions and specialized burrs. The bone is remodeled and repositioned through 2–3 small portals. Performed as an outpatient procedure. Most patients walk immediately in a surgical shoe.
Candidacy note: Mild to moderate bunion deformities. Severe deformities may require open correction.
Correction of hammertoe, claw toe, and mallet toe deformities through small incisions. Tendon releases, joint releases, and bone procedures can be performed with minimal soft tissue disruption.
Candidacy note: Flexible and semi-rigid hammertoe deformities. Rigid deformities may require open correction.
Endoscopic or percutaneous release of the plantar fascia for chronic plantar fasciitis that has not responded to conservative treatment. Performed through one or two small incisions.
Candidacy note: Chronic plantar fasciitis (>6 months) that has failed conservative treatment. Nerve entrapment must be ruled out first.
Decompression of entrapped nerves (Morton's neuroma, tarsal tunnel) through small incisions using specialized instruments. Preserves nerve function while relieving compression.
Candidacy note: Confirmed nerve entrapment that has not responded to conservative treatment.
Common Questions
Minimally invasive foot surgery uses small incisions (typically 2–5mm) and specialized instruments to correct deformities and treat conditions that traditionally required larger open incisions. The goal is to achieve the same or better correction with less soft tissue disruption, less pain, and faster recovery.
Candidacy for minimally invasive bunion surgery depends on the severity and type of your bunion deformity, bone quality, and other individual factors. A thorough evaluation including weight-bearing X-rays is required to determine whether minimally invasive correction is appropriate for your specific case.
Most patients are walking in a surgical shoe immediately after minimally invasive bunion surgery. Return to normal footwear typically occurs at 6–8 weeks. Full recovery and return to all activities varies by individual but is generally faster than with traditional open bunion surgery.
Not necessarily. Minimally invasive techniques are appropriate for certain cases and certain deformities. For complex or severe deformities, traditional open surgery may provide more reliable correction. Dr. Bregman evaluates each case individually and recommends the approach most likely to achieve the best outcome.
Bunionplasty MIS is a specific minimally invasive bunion correction technique that uses small incisions and specialized burrs to remodel the bone and correct the deformity. It is performed as an outpatient procedure under local or regional anesthesia.
A thorough evaluation including weight-bearing X-rays is required to determine whether minimally invasive surgery is appropriate for your specific condition and deformity.