Minimally Invasive Bunion Surgery — Las Vegas

Bunion Surgery with Virtually No Visible Scars

Dr. Bregman performs state-of-the-art minimally invasive bunionectomy through tiny 2–5 mm portals — correcting the deformity with precision, minimal tissue disruption, and a faster return to normal activity.

What Is a Bunion?

A bunion (hallux valgus) is a bony prominence that forms at the base of the big toe when the first metatarsal bone gradually drifts outward while the big toe angles inward. The result is a painful, often inflamed bump on the inner side of the foot that can make wearing shoes extremely uncomfortable and interfere with daily activities.

Bunions are progressive — they do not resolve on their own and will worsen over time without intervention. Factors that contribute to their development include hereditary foot structure, improper footwear, and biomechanical imbalances.

When conservative measures such as orthotics, wider shoes, and padding fail to provide adequate relief, surgical correction offers a definitive solution. Dr. Bregman's minimally invasive approach achieves excellent deformity correction while dramatically reducing the visible scarring and recovery time associated with traditional open bunion surgery.

Why Choose Minimally Invasive Bunion Surgery?

Tiny Incisions

2–5 mm portals instead of a 5–7 cm open incision — virtually no visible scarring at 6 weeks.

Faster Recovery

Most patients are walking in a surgical shoe the same day and return to regular shoes in 6–8 weeks.

Less Pain

Minimal soft tissue disruption means significantly less post-operative pain and swelling.

Precise Correction

Fluoroscopic guidance ensures accurate bone cuts and hardware placement for lasting correction.

Outpatient Procedure

Performed under local anesthesia or light sedation — no hospital stay required.

Proven Results

Dr. Bregman has performed hundreds of minimally invasive bunionectomies with outstanding patient outcomes.

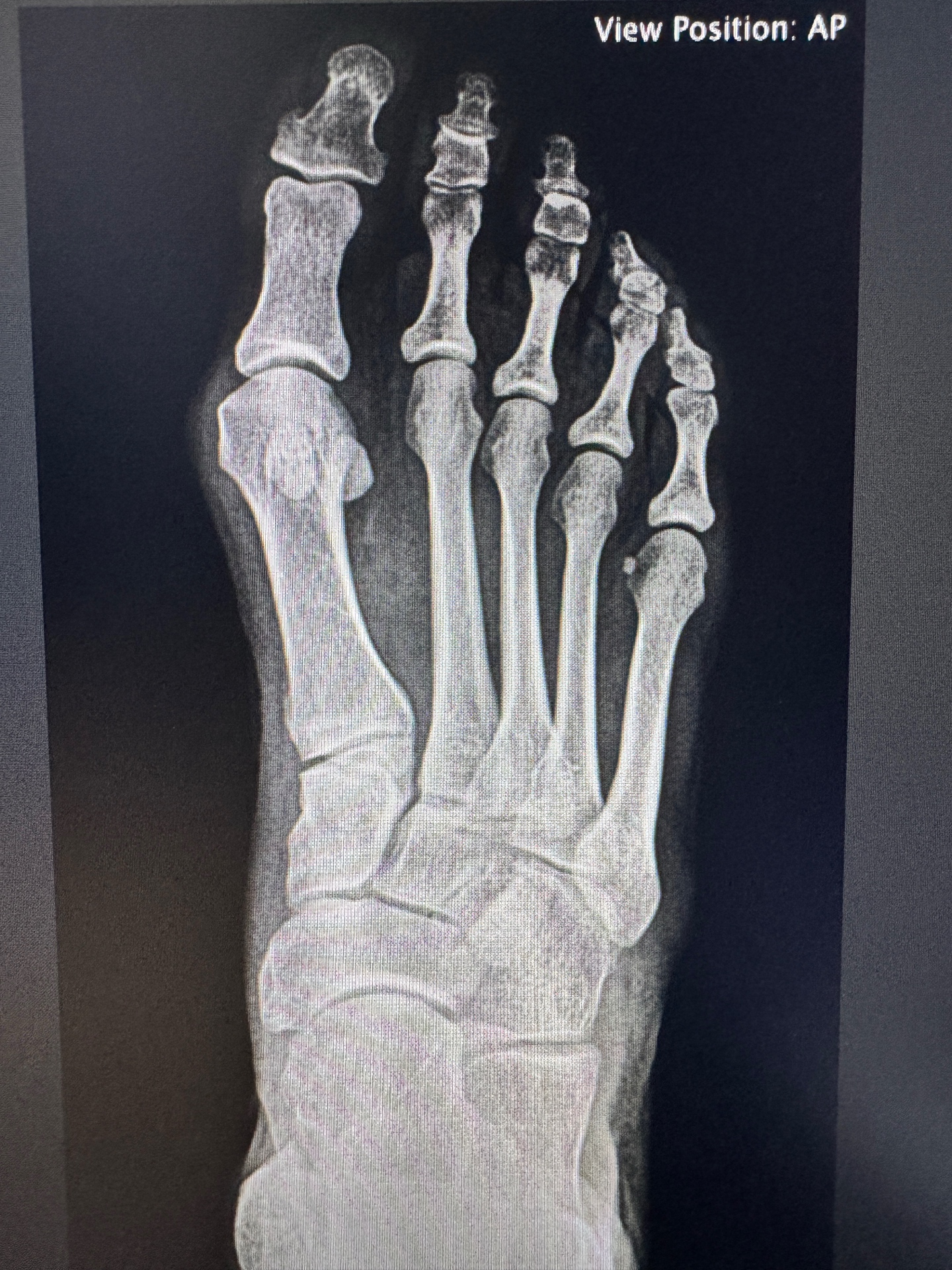
Patient X-Ray Results

Actual patient X-rays from Dr. Bregman's practice — showing deformity correction achieved through minimally invasive technique.

Bunion X-ray before minimally invasive surgeryBEFORE

Significant hallux valgus deformity with lateral deviation of the great toe

Bunion X-ray after minimally invasive surgery showing hardware and correctionAFTER

Corrected alignment with internal fixation hardware — first metatarsal realigned

Post-Operative Clinical Results

Both images are post-operative — taken from different angles to demonstrate the near-complete absence of visible scarring.

* Actual patient of Dr. Bregman. Individual results may vary.

Post-operative bunion surgery result — medial view showing minimal scarringAFTER — Medial View

Medial aspect — incision site virtually invisible at follow-up

Post-operative bunion surgery result — dorsal view showing minimal scarringAFTER — Dorsal View

Dorsal aspect — corrected alignment with barely perceptible portal sites

Ready to Finally Address Your Bunion?

Schedule a consultation with Dr. Bregman to discuss whether minimally invasive bunion surgery is right for you.